来源:北京希玛林顺潮眼科医院
2017-10-20
黄斑裂孔是因为发生视网膜的撕裂,只要修复撕裂、封闭裂孔,病人的视网膜将有机会复原,视力也可以恢复。黄斑裂孔的治疗是与病情的发展有关,在黄斑裂孔发展早期接受治疗,视力恢复越好。
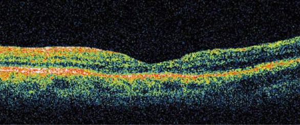
黄斑裂孔根据病变的位置、大小以及病程进展分为四期

(患者各时期光学相干断层扫描图片)
1期 板层裂孔:裂孔未有效穿透视网膜神经层。其中中央凹部份发生脱离为1a期;而黄斑中央凹进一步脱离,中央凹陷消失,为1b期。
2期 全层裂孔:裂孔直径小于400微米;
3期 全层裂孔:裂孔≥400微米+未发生玻璃体后脱离;
4期 全层裂孔:裂孔≥400微米+已发生玻璃体后脱离);
上传病历,了解病情发展到哪一期?
黄斑裂孔治疗宜早不宜迟
(1)通常第一期的黄斑裂孔尚不需要手术治疗;
(2)当裂孔恶化至第二至四期就需要考虑手术,其中第二期病变中,视神经组织损失尚不不错,如及早手术封闭裂孔,视力恢复程度较不错。
(3)而如果病变恶化至第三及第四期,病人视力多已受到较大破坏,即使手术后裂孔封闭,视力恢复可能亦会未如理想。
黄斑裂孔治疗--玻璃体切除为主,其他方案并存
(1)目前尚未有预防或者治疗黄斑裂孔的药物,玻璃体切除手术是主要的治疗方法,伤口细小,病人术后康复时间短。

(接受玻璃体切除手术治疗后,裂孔愈合,视力得到改善。)
(2)撕掉有疤痕的视网膜内界膜也是主流方法。透过撕掉内界膜,可以有效化解拉扯的压力。
(3)另外,还会在眼内灌注特别的气体(多数是C3F8)以顶压裂孔,使其与后方视网膜组织保持贴合,而令裂孔能好地愈合。
适合哪种治疗方案?上传病历,点击在线挂号!
北京希玛眼科医院专业治疗黄斑疾病
北京希玛林顺潮眼科医院是在一所集医疗、科研、保健和防盲治盲为一体的现代化多功能港资全资专业眼科医院,是全国知名的眼部疾病医生会诊和治疗中心。
(1)实力强大的国外顾问团及开创性科研,给病人带来治疗希望
北京希玛眼科和国外顾问及国外大型眼科中心等国外机构接轨,除了致力为患者提供优质的临床服务外,发挥自身科研优势,努力攻克眼科大病、难病、病也是我们的工作重心之一。透过视像会议,我们将定期与国外医生会诊,研究讨论各种疑难杂症,集思广益,务求为患者提供适切的治疗。
(2)北京希玛专业的医疗队伍,让患者安心
北京希玛眼科医院拥有一支资深专业的医疗团队,汇集了中国香港、内地和海外多名资历深、技术高和经验丰富的眼科医生。
北京希玛眼科秉承"国外水平、港式管理、优质服务、合理收费"的宗旨,紧贴眼科发展趋势,以亲切至诚的态度,严谨的专业操守和优质的医疗及护理服务,为病人提供多元化的专业眼科一站式服务。
了解更多希玛优质资源
北京希玛林顺潮眼科--眼科医生亲自坐诊治疗,疗效有打造
北京希玛林顺潮眼科医院拥有强大的医生团队,以林顺潮院长为首的医生团队,均毕业于国内外医学院校,于国内外医院工作多年,临床经验丰富。
更多希玛眼科医院详情,点击了解
名医推荐:中国香港眼科医生林顺潮教授
林教授治疗黄斑裂孔有着丰富的临床诊疗经验,根据不同黄斑裂孔患者的个人病情制定具针对性的治疗方案,临床治疗不错,一直深受患者的好评。
温馨提示:北京希玛林顺潮眼科医院已经开通网上
咨询平台,如有疑问请拨打健康热线电话010-53090998,北京希玛林顺潮眼科医院医生将为您细心解答!